

Breast screens (also known as mammograms) are x-rays of your breasts to check for cancer.
A breast screen can find cancers that are too small to see or feel.1536 It can find cancers as small as a grain of rice, before you or your doctor can detect any changes in your breasts. For women aged 50–74, a regular breast screen is the best way to find cancer early.1550
Breast cancer treatment is most successful when the cancer is still small and has not spread to other parts of the body. Treatment is often less invasive, survival rates are better, and women can get back to their normal lives more quickly.1536
Screening with BreastScreen NSW
| Is free | |
| All radiographers are female | |
| Takes just 20 minutes | |
| Requires no referral | |
| Is available in more than 250 locations around NSW | |
| Uses high quality imaging equipment with minimal radiation |

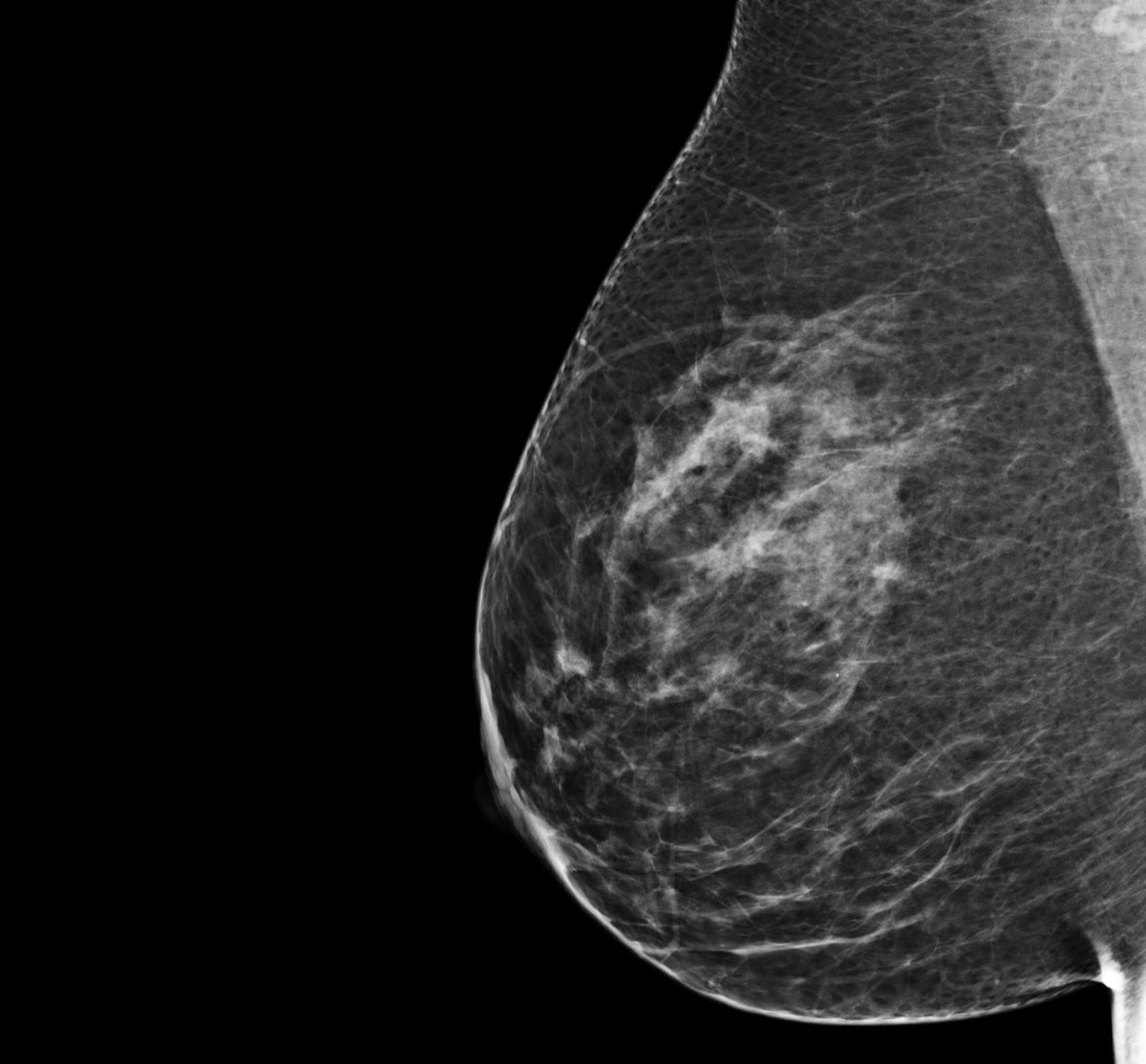
An example of a normal breast screen
Each screen may look a little different because all breasts are a little different.
Screening with BreastScreen NSW is for women with no symptoms. If you notice any changes in your breasts, such as a lump, pain or nipple discharge, please see your doctor as soon as possible.
Find out if you are eligible to screen with BreastScreen NSW.
Find out the risks of breast cancer.
What to expect before during and after your breast screen.
Know what you should look out for.
Know the facts and risks.



